La chirurgie ostéo-articulaire représente une partie importante de l’activité de notre clinique.
Les interventions les plus couramment pratiquées sont:
- Les chirurgies du genou lors de luxations de rotules ou de ruptures du ligament croisé qui sont devenues les premières pathologies rencontrées en orthopédie canine.
- Les traitements chirurgicaux dans la prise en charge de la dysplasie de la hanche images qui permettent d’améliorer le pronostic locomoteur du chien ainsi que sa qualité de vie.
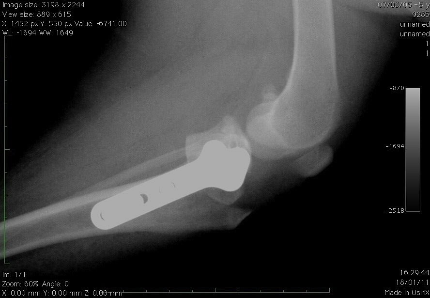
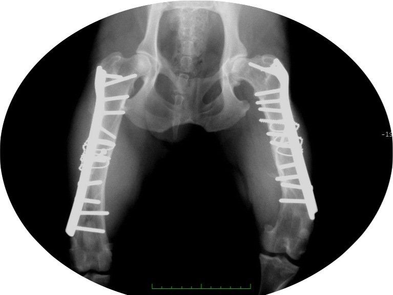
- Les chirurgies réparatrices lors de fractures des membres avec utilisation de broches, plaques et vis.
- Les traitement des pathologies du coude ou de l’épaule (dysplasie du coude, ostéochondrite de l’épaule, etc…).
Notre unité chirurgicale pratique également des interventions de chirurgie vertébrale:
- Les chirurgies de hernie discale qui sont devenues les premières pathologies rencontrées en neurologie chez le chien.









