Die Ultraschalluntersuchung ist ein bildgebendes Verfahren mit Ultraschall, nicht-invasiv, schmerzlos, das zunehmend eingesetzt wird. Es ermöglicht die Untersuchung des Bauches, des Brustkorbs (insbesondere des Herzens), aber auch bestimmter Organe wie des Auges.
Bauch-Ultraschall:
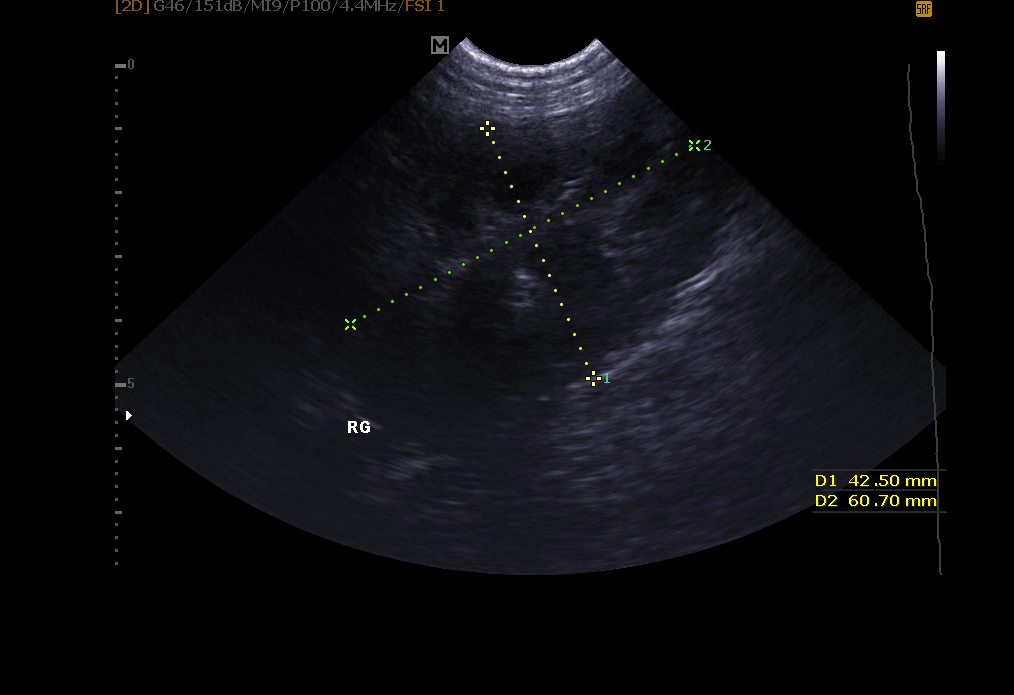
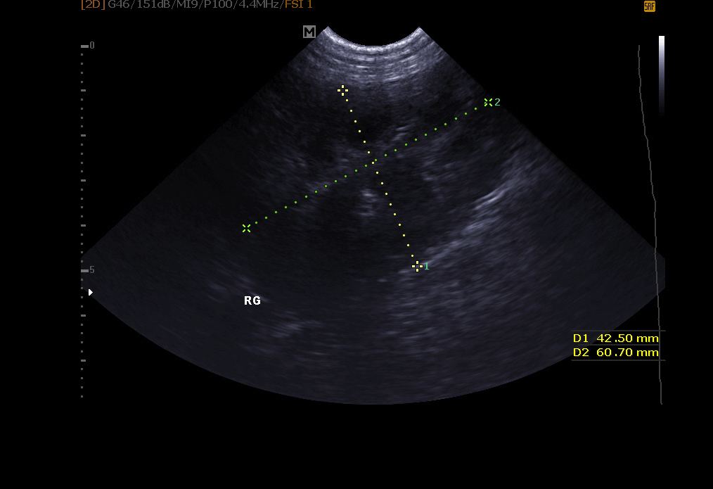
Abdomen-Ultraschall: ermöglicht die Untersuchung der Blase (Suche nach Steinen, Polypen, Tumor), Nieren, Milz, Leber, Bauchspeicheldrüse und anderen Bauchorganen.
Untersuchung des Genitalsystems: Infektion der Gebärmutter, Trächtigkeit nachweisbar vom 18. bis 21. Tag bei der Katze und der Hündin, Ovarialzysten, Exploration der Prostata beim Rüden.
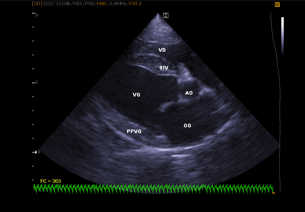
Echokardiographie:
Es ermöglicht die Visualisierung der verschiedenen Teile des Herzens (Wände, Hohlräume, Klappen) und die Identifizierung von Anomalien, die eine korrekte Herzfunktion verhindern. Bei Herzinsuffizienz ermöglicht die Echokardiographie auch eine regelmäßige Überwachung der Herzmorphologie. Es ist dann einfacher, die Behandlung an Ort und Stelle neu einzustellen.















