Ultrasound examination is an imaging technique using ultrasound, non-invasive, painless, which is increasingly used. It allows the exploration of the abdomen, the thorax (in particular the heart) but also certain organs such as the eye.
Abdominal ultrasound:
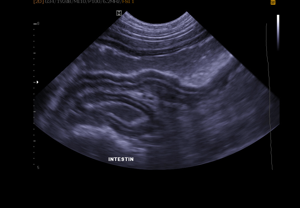
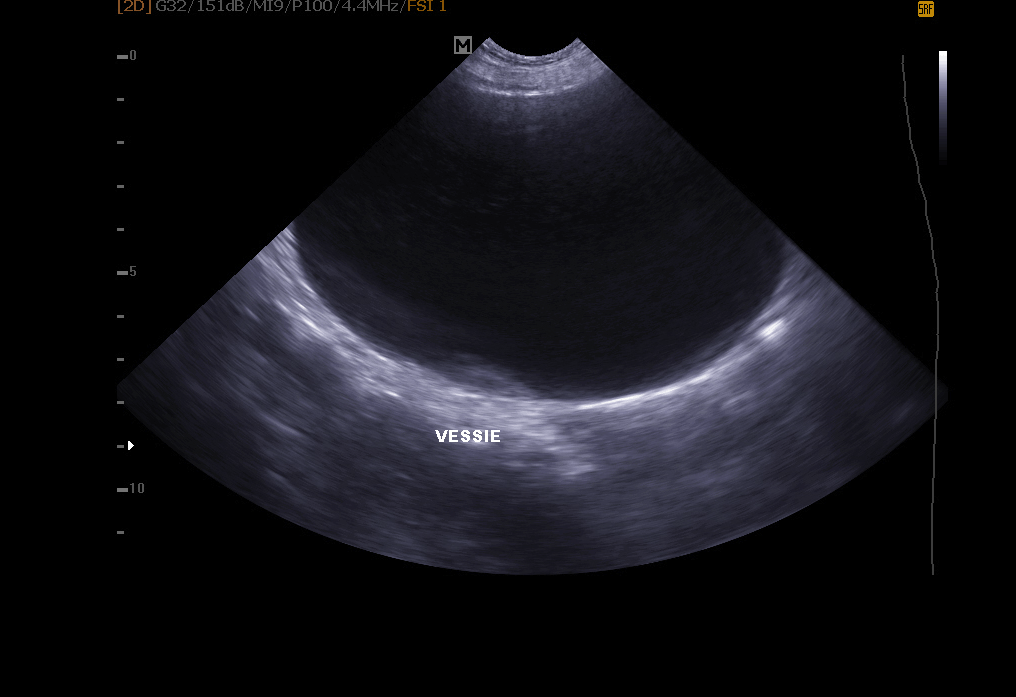
Abdominal ultrasound: it allows exploration of the bladder (search for stones, polyps, tumor), kidneys, spleen, liver, pancreas and other abdominal organs.
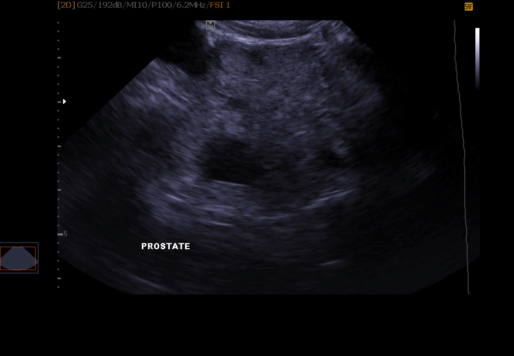
Examination of the genital system: infection of the uterus, gestation detectable from 18 to 21 days in the cat and the female dog, ovarian cysts, exploration of the prostate in the male.
Echocardiography:
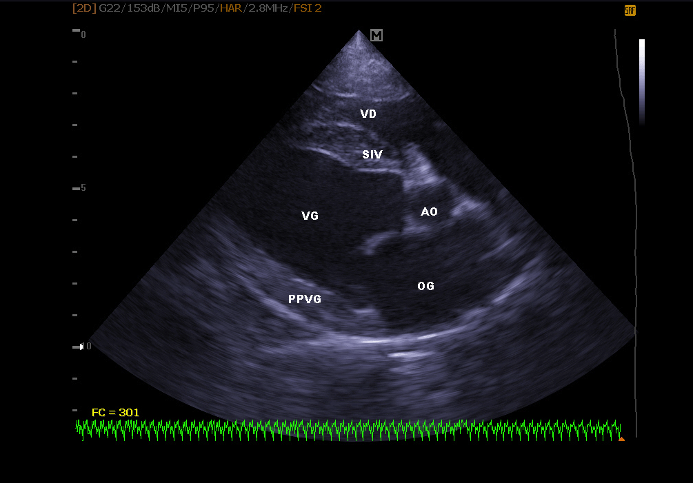
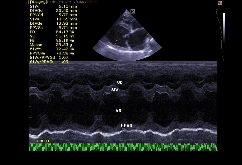
It makes it possible to visualize the different parts of the heart (walls, cavities, valves) and to identify any anomalies that prevent correct cardiac functioning. In case of heart failure, echocardiography also allows regular monitoring of cardiac morphology. It is then easier to readjust the treatment in place.















