Bone and joint surgery represents an important part of the activity of our clinic.
The most commonly performed procedures are:
- The surgeries knee during patella dislocations or of cruciate ligament ruptures which have become the first pathologies encountered in canine orthopedics.
- Surgical treatments in the management of dysplasia of the hip images which improve the locomotor prognosis of the dog as well as its quality of life.
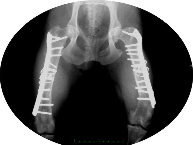
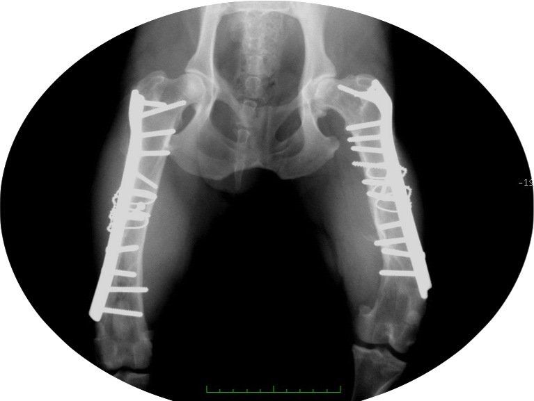
- reconstructive surgeries during broken bones limbs with the use of pins, plates and screws.
- The treatment of pathologies of the elbow or of the shoulder (elbow dysplasia, osteochondritis of the shoulder, etc.).
Our surgical unit also performs spinal surgery:
- The surgeries of herniated disc which have become the first pathologies encountered in neurology in the dog.









