Gesundheitsinfoblatt
Die Piroplasmose
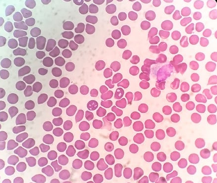
Das Piroplasmose
liegt an a mikroskopischer Parasit
in roten Blutkörperchen des Hundes zu sehen. In unserer Region sehr verbreitet, wird es durch Zeckenstiche übertragen. Die Zecke wird während einer Blutmahlzeit bei einem betroffenen Hund kontaminiert. Die Weibchen legen Eier und sterben dann. Aus den infizierten Eiern entstehen Larven, Nymphen und dann Erwachsene, die die Krankheit auf ihn übertragen, indem sie einen anderen Hund beißen.
Der Lebensstil des Einzelnen spielt eine Rolle bei der Kontaminationshäufigkeit:
Jagdhunde, draußen lebende Hunde, häufige Spaziergänge in ländlichen Gebieten.
Es gibt auch zwei saisonale Spitzen: Frühling Herbst. Allerdings begegnen uns Anfang Januar bei unseren Patienten häufig Fälle von Piroplasmose.
Das Vorhandensein dieses Parasiten im Blut führt zur Zerstörung von rote Zellen.
Das erste Symptom ist oft eine unerklärliche Depression, ein trauriger Hund.
Wir beobachten auch dieHyperthermie, a Appetitverlust, des blasse Schleimhäute, manchmal gelb, eine große Milz, dunkler Urin, manchmal kaffeefarben. Schwere Komplikationen können auftreten: Nierenversagen, Gerinnungsstörungen.
Das erste Symptom ist oft eine unerklärliche Depression, ein trauriger Hund.
Wir beobachten auch dieHyperthermie, a Appetitverlust, des blasse Schleimhäute, manchmal gelb, eine große Milz, dunkler Urin, manchmal kaffeefarben. Schwere Komplikationen können auftreten: Nierenversagen, Gerinnungsstörungen.
Demonstration des Parasiten unter dem Mikroskop auf einem fBlut rottis
bestätigt das Vorhandensein von Piroplasmose.
Andererseits erlaubt das Fehlen eines sichtbaren Parasiten keinen Ausschluss einer Piroplasmose. Es gibt ausgefeiltere Nachweistechniken (PCR), aber mit einer Wartezeit, um das Ergebnis zu erhalten.
Die Behandlung zielt auf die Eliminierung des Parasiten (Injektion von Imidocarb), aber auch auf die Behandlung oder Vorbeugung etwaiger Komplikationen (Kortikosteroidtherapie, ggf. Infusion, im Extremfall manchmal Transfusion).
Auch wenn es einen Impfstoff gegen Piroplasmose gibt (2 Injektionen im Abstand von 1 Monat, dann eine Auffrischung alle 6 Monate oder jedes Jahr, je nach Lebensweise des Hundes), erfolgt die Vorbeugung in erster Linie durch die Verwendung von Anti-Zecken.
Es ist notwendig, die Lösung zu wählen, die für jedes Tier am besten geeignet ist, entsprechend seiner Lebensweise, seiner Exposition gegenüber parasitären Risiken (Tabletten, Pipetten, Halsketten) unter Berücksichtigung der Verwendungsarten und insbesondere der Erneuerungshäufigkeiten.
Auch wenn es einen Impfstoff gegen Piroplasmose gibt (2 Injektionen im Abstand von 1 Monat, dann eine Auffrischung alle 6 Monate oder jedes Jahr, je nach Lebensweise des Hundes), erfolgt die Vorbeugung in erster Linie durch die Verwendung von Anti-Zecken.
Es ist notwendig, die Lösung zu wählen, die für jedes Tier am besten geeignet ist, entsprechend seiner Lebensweise, seiner Exposition gegenüber parasitären Risiken (Tabletten, Pipetten, Halsketten) unter Berücksichtigung der Verwendungsarten und insbesondere der Erneuerungshäufigkeiten.



